The image shows a person sitting in a dental chair with a blue light device on their face, likely for teeth whitening or cleaning purposes.

Professional Teeth Whitening

Near Me in Denver, Greenwood Village, & Beyond

5280 Magazine’s Top Cosmetic Dentist, Dr. Robin Asbury, leads our Metro Smiles team in transformative procedures for patients who desire improvements in their oral health and cosmetic appearances. Boost your self-confidence and get a brighter smile with our professional teeth whitening methods. Suitable for even those with sensitive teeth.

Contact Us

Advanced Teeth Whitening Treatments

Everyone wants a brighter, whiter smile and thanks to the cosmetic dentistry offered by Metro Smiles, it’s possible. Our smiles say a lot about us—by virtue, they often reflect traits present in the best version of ourselves. 

The truth is that our confidence levels are linked, at least in part, to our appearance. When your teeth are brighter, you’ll feel a lot better about yourself. You may feel more confident in social settings and even do better professionally.

Also, when you have whiter teeth, you’ll want to show them off. Since you’ll be more likely to smile, people will find you warmer and more approachable.  Our patients often report profound impacts after treatments, such as improved professional performance, a renewed sense of confidence, brighter Instagram smiles, and a more vibrant, outgoing social life. Valuing our teeth, smile, and oral health goes beyond appearance; professional luxurious treatments like teeth whitening empower us to invest in ourselves.

A bald man with a smile, looking directly at the camera.

Why Choose Metro Smiles for Professional Teeth Whitening?

Metro Smiles is more than a family dental office where you can get your teeth whitened. We value your smiles as much as you do; our professionals have the education, knowledge, and experience to transform the ordinary into the extraordinary. After patients undergo one or more of our transformative cosmetic dentistry services, the people around them tend to find them more approachable, charismatic, and attractive, especially when they show off their new, brilliant white smiles.

Professional Teeth Whitening for Sensitive Teeth

People with sensitive teeth can still painlessly achieve beautiful, bright smiles. Patients with more sensitive teeth sometimes experience pain or discomfort when their teeth are exposed to hot or cold temperatures. Dr. Robin’s methods are among the best for sensitive teeth; she has a highly-trained eye for all things cosmetic and beauty.

An individual undergoing dental treatment with a laser device, viewed through a digital overlay.

Philips Zoom WhiteSpeed

We offer the Philips Zoom WhiteSpeed, which uses a special Led lamp that can lighten teeth five to eight shades in one hour. Similar to laser teeth whitening, this system includes the application of hydrogen peroxide gel and a special activation light to achieve dramatic results.

Contact Us

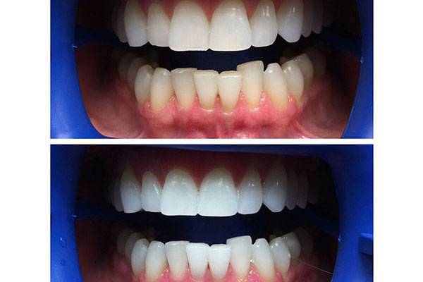
Professional Teeth Whitening Before and After

The image shows a dental impression tray with two rows of teeth, one on top of the other, each row containing artificial teeth.

Professional Teeth Whitening Before and After Example 3

The image displays two photographs side by side of a person s teeth before and after dental treatment, emphasizing the transformation achieved through cosmetic dentistry.

Professional Teeth Whitening Before and After Example 1

The image displays two photographs side by side showing a person s teeth before and after dental treatment, highlighting the results of cosmetic dentistry with a focus on teeth whitening.

Professional Teeth Whitening Before and After Example 2

The image displays two photos of a person s teeth with visible signs of dental work, including braces and possibly orthodontic adjustments, against a blue background.

Professional Teeth Whitening Before and After Example 4

The image features a man with a broad smile, showcasing a set of white teeth, holding a device that appears to be related to dental care or oral health maintenance.

Best Dentist for Teeth Whitening Near Me

Beyond Greenwood Village, Colorado

You deserve a refined sense of self-esteem and a smile that makes you proud. Rest assured, you will be in good hands with our amazing dentist and dental hygienist team. Named 5280’s Top Cosmetic Dentist for over a decade, Dr. Robin maintains her reputation as one of the best teeth whitening dentists in Colorado amongst local communities and interstate patients. Even our patients who experienced some reluctance or anxiety coming in had nothing but raving reviews after they witnessed the outcomes of their treatments.

Book your next whitening procedure with Metro Smiles today and let us help you live life as the best version of yourself.

Contact Us

Teeth Whitening FAQs

How does professional teeth whitening work?

Professional teeth whitening uses a concentrated bleaching agent—typically hydrogen peroxide or carbamide peroxide—applied under the supervision of a dentist. It penetrates the enamel to break up deep stains and discoloration, producing faster and more dramatic results than over-the-counter products.

Is teeth whitening safe for my teeth and gums?

Yes, when performed by a dental professional, teeth whitening is safe. Your dentist will take precautions to protect your gums and minimize tooth sensitivity during and after the treatment.

How long do teeth whitening results last?

Results from professional teeth whitening can last anywhere from several months to a few years, depending on your oral hygiene habits, diet, and lifestyle. Avoiding tobacco and staining foods or drinks like coffee and red wine can help maintain your bright smile.

Will teeth whitening work on all types of stains?

Teeth whitening is most effective on extrinsic stains caused by food, drinks, and aging. It may be less effective on intrinsic stains caused by trauma or certain medications. Your dentist can assess your specific condition and recommend the best solution.

What’s the difference between in-office and take-home whitening treatments?

In-office whitening offers immediate results in just one visit, using stronger bleaching agents and sometimes light activation. Take-home kits from your dentist are customized to your teeth and provide gradual whitening over one to two weeks, giving you flexibility and comfort at home.

Cosmetic Dentistry Services

Besides teeth whitening, our luxury dental office offers an extensive range of cosmetic dentistry procedures.

The image shows a close-up of a smiling person s face with a focus on teeth, lips, and facial features.

Cosmetic veneers are an ideal cosmetic solution for everyone who desires a beautiful smile with minimal invasions into their teeth.

Learn More >

Porcelain Veneers

The image shows a close-up of a person s smiling face with teeth visible, giving an impression of happiness or contentment.

Crafted from the highest grade of ultra-thin dental porcelain, No-Prep Veneers offer a powerful combination of strength, durability, and exceptional aesthetics.

Learn More >

No-Prep Veneers

The image shows a close-up view of a person s smiling face with teeth, capturing an expression of joy or happiness.

All-porcelain dental crowns provide both strength and subtlety.

Learn More >

Porcelain Crowns

A person wearing sunglasses appears to be blowing into a device with their mouth, which could possibly be a microphone or a similar object.

Our professional teeth whitening methods are suitable even for those with especially sensitive teeth.

Learn More >

Teeth Whitening

The image shows a close-up of a person s smiling face with teeth being worked on by dental instruments, likely during a dental appointment or procedure.

Less intimidating than it sounds, dental bonding is one of the fastest, simplest ways to fulfill a beautifying smile makeover

Learn More >

Dental Bonding

The image shows a person with their mouth open, holding a toothbrush with toothpaste on it, while looking directly at the camera.

Invisalign® Aligners that provide exceptional patient care for people who value extraordinary smiles as much as we do.

Learn More >

Invisalign®

The image shows a man with a beard smiling broadly towards the camera.

Learn more about all of the dental services and facial aesthetic treatments that Metro Smiles has to offer.

Learn More >

All Dental Services

Contact Us

8200 E Belleview Ave, Ste 460 E
Greenwood Village, CO 80111

Areas of Service

Serving Denver, Denver Tech Center, Englewood, Greenwood Village, Cherry Hills, Centennial and beyond!